Welcome to Jomas Dental Clinic
Modern dentistry in a calm and relaxed environment.
At Jomas Dental Clinic, we are dedicated to providing exceptional dental care with a compassionate touch. Our skilled team combines modern technology with personalized treatment plans to ensure your comfort and health come first. From routine checkups to advanced dental procedures, we’re committed to making your smile bright and healthy. Experience the difference of patient-centered care at Jomas Dental Clinic, where your dental health is our top priority.
Watch our clients' testimonial videos
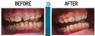
Your Journey to a Healthier, Happier Smile
why choose us
At Jomas Dental Clinic, we prioritize patient comfort, advanced dental technology, and personalized care for every smile. Our experienced team is committed to delivering excellent, reliable, and compassionate service, ensuring you leave each appointment healthier and happier.
book an appointment
consult our experts and get quick appointment
Ada George Road Branch:
93 Ada George Road, Beside (Between) Royal Dynasty Filling Station and Mouka Foam
Contact: 07082240826
Peter Odili Branch:
Onate Plaza, 2 Peter Odili Road, Opposite Apostolic Fire Ministry, By Sasun Roundabout
Contact: 09132294436
opening hours
our services
what our clients say
testimonials from happy clients
I came in contact with Jomas Dental Clinic after my teeth were initially almost ruined by another dentist. The previous dentist, after cleaning my teeth, asked me to fill them. After the filling, I experienced food packing between my teeth, significant discomfort, and found it hard to maintain good hygiene and fresh breath. This was until I met the dentist at Jomas Dental Clinic, who removed the old filling and placed a fresh one. I immediately noticed the clear difference and professionalism in the work—from the quality of the material used to the final outlook and, most importantly, how I felt afterward. Since then, I’ve been able to maintain proper hygiene around my teeth with no more discomfort. I now go for regular checkups and follow the valuable advice provided by the dentist and the wonderful staff at Jomas Dental Clinic.
Thanks to Jomas Dental Clinic!
I just want to take a moment to express my deepest gratitude for the outstanding work you have been doing, especially on my Zirconia surgery. Your professionalism, skill, and care have truly transformed my smile and my confidence.
Thanks to your expertise, I can now smile without fear and interact with people without hesitation. Your dedication to your craft has not only improved my oral health but has also enhanced my overall well-being.
I am grateful for the trust I have developed in you and your team. Your kindness, compassion, and attention to detail have made a significant difference in my life. I am now able to socialize and network with people more freely, and I couldn't be more thankful.
Please accept my sincerest appreciation for your exceptional care. I am so glad I chose you as my dentist.
Warm regards
Most painless Root canal.
I have had fears about getting my teeth worked on until I visited Jomas dental clinic where I had a root canal done. Unlike others I did elsewhere, this was most painless.
It was a wonderful experience.
Jomas Dental Clinic — my experience there was very great and fine.




